全国首例!
拔除植入超两年无导线起搏器并同步植入LOT-CRTD
新医大一附院再次实现突破!
4月28日,beat365中文在线官网第一附属医院心律失常诊疗中心心脏起搏电生理科汤宝鹏教授及其团队成功开展了全国首例无导线起搏器Micra非急性期拔除(植入时间超过两年)及同步植入左束支区域起搏+心脏再同步除颤器(LOT-CRTD)植入术。
该疗法实现了最大程度生理性起搏纠正心力衰竭及预防猝死的双重治疗目的,手术的顺利开展也标志着新医大一附院起搏电生理学科在该技术领域处于国际领先地位。

张疆华主任医师(右)、杨徐主治医师(左)为患者施术
患者张女士于两年前因急性心肌梗死,介入治疗后出现房颤伴心动过缓,在当地医院成功植入了无导线起搏器,术后症状得到缓解。近半年,张女士出现了明显的劳累性呼吸困难、间断水肿等心衰症状,同时出现多次阵发性心悸并晕厥。日前,她来到beat365中文在线官网第一附属医院就诊,希望得到进一步治疗。
汤宝鹏教授团队经过相关检查发现,患者存在心室起搏依赖,心脏超声示心脏扩大,左心室EF值低,动态心电图可见短阵多形性室速。心脏起搏电生理科就患者的病情展开了充分讨论,考虑到无导线起搏器的右室起搏已不适合患者目前心脏的情况,甚至可能会加重患者的心衰症状,晕厥是由于室性心动过速所致。


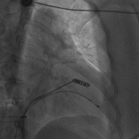
无导线起搏器被抓捕、拔除的术中影像
治疗团队经过讨论并评估了手术风险及愈后,与家属反复沟通,决定为张女士实施无导线起搏器移除+生理性起搏+心脏再同步除颤器(LOT-CRTD)植入术。
术前,汤宝鹏教授带领治疗团队对文献进行了详细查阅,对病情进行了充分而细致地评估,对术中可能出现的各种风险做好了各项应急预案。术中,手术团队使用圈套器成功抓捕无导线起搏器Micra尾端并顺利拔除,同时给患者植入左束支心脏再同步起搏除颤器。手术顺利,患者术后恢复良好。

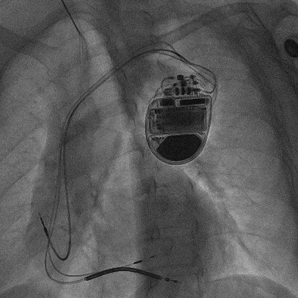
拔除无导线起搏器后植入左束支CRTD的术后影像
目前,全国范围内针对非急性期无导线起搏器移除还没有足够的经验,个案移除均为术中或术后短期微脱位,起搏阈值升高,无导线起搏器未形成内皮化而被包裹。此次患者体内植入时间超过两年的无导线起搏器已部分形成内皮化和被包裹,拔除具有一定手术风险和操作难度,具有很大的不确定性。此次拔除手术的成功实施,为后续的相似病例提供了可借鉴的宝贵经验。
来 源:第一附属医院
责 编:余 淼